HE homepage

Sahil Parikh explains the tread of cardiology departments treating critical limb ischemia (CLI) at AHA 2022.

Sahil Parikh, MD, talked to Cardiovascular Business about growing trends related to the treatment of critical lower limb ischemia. "We are getting better and better at saving their limbs, but we are not better at saving their lives," he said. 

walmart health

With the growth trajectory, Walmart Health will have more than 75 locations by the end of 2024.

ChatGPT and similar technologies coming down the medical pike have far to go before they’re reliable sources of accurate and appropriate health information. That doesn’t mean they’re non-factors now.  

Hospice | Caregiving

The deal is expected to close in the second quarter of 2023.

The move represents a return of sorts for Pinney, who served Mount Sinai in a variety of leadership roles from 2004 to 2020.

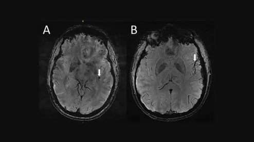
Ultra-high-res MRI Reveals Migraine Brain Changes

The partnership is just the latest example of AI technologies being adopted in the healthcare space.

Around the web

The filler contains hydroxylapatite microspheres, which may be visible on medical imaging.