HE homepage

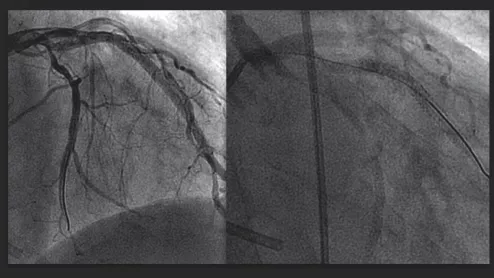
A comparison between a traditional iodine contrast angiogram (left), and a gadolinium contrast angiogram (right). MRI gadolinium contrast is starting to be used in some interventional radiology procedures and is being considered in interventional cardiology due to the iodine contrast shortage.

Gadolinium might be an alternative, stop-gap solution for interventional procedures during the current iodine contrast shortage.

The imaging iodine contrast shortage is delaying procedures and causing rationing at hospitals. impact is it having on hospitals and the tough decisions that are being made to triage patients to determine if they will get a contrast CT scan or an interventional or surgical procedure requiring contrast. Photo by Dave Fornell

Alan H. Matsumoto, MD, chair of the department of radiology at the University of Virginia and vice chair of the American College of Radiology Board of Chancellors, explains the contrast shortage situation and the tough decisions providers are being forced to make.

Doctor patient

“For patients with cardiovascular disease, abortion access is a critical part of their comprehensive cardiovascular and reproductive care,” according to the three authors of a new commentary piece in JAMA Cardiology.

Walmart Health retail care clinic

Walmart acquired the telehealth company back in May 2021. 

Covid Drugs

Drug shortages have been impacted by COVID-19, with 95% of doctors believing the pandemic exposed weaknesses in the medicine supply chain.

Kirk Garratt, past SCAI president, explains the impact of the iodine contrast shortage on interventional cardiology and the cath lab. #SCAI

Kirk Garratt, MD, medical director of the Center for Heart and Vascular Health, ChristianaCare, and a past president of SCAI, explains what this shortage means for interventional cardiologists.

Around the web

This is the second FDA clearance in two weeks for Massachusetts-based Anumana. The company's AI models are built to evaluate ECG results for signs of various cardiovascular conditions.