HE homepage

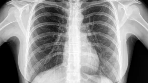
AI models can be trained to evaluate chest x-rays as well as radiologists, according to a new study published by Radiology. Specialist-approved reference standards played a crucial role in the team’s research.

Target health care costs.

Accountable care organizations (ACOs) saved Medicare more than $3.53 billion from 2013 to 2017, according to a report from industry group the National Association of ACOs (NAACOS).

flu-shot-1719334_960_720.jpg

One of the nation’s largest health insurers is using AI to help persuade patients to get their seasonal flu shot, The Wall Street Journal reported.

MaxQ AI has achieved ISO 27001 certification, meaning the Tel Aviv, Israel-based company fully complies with the internationally recognized information security standard.

Drugs commonly used to treat diabetes are being tested for unsafe levels of carcinogens by the FDA.

Blog_Header_1200x628_Fellowship (12)_0.png

Implementing AI solutions into clinical practice can be a long, challenging process, according to a presentation at RSNA 2019 in Chicago. When the time comes, some providers will have the patience to make it all the way to the finish line—while some won’t.  

Around the web

The approval, made as part of a special FDA pilot program, took just 50 days.