HE homepage

Doctor wearing a COVID N95 mask in the hospital. #Coronavirus #COVID19 #Sarscov2

The average wages for U.S. healthcare workers rose less than wages in other industries during 2020 and the first six months of 2021, despite the healthcare workforce shouldering the heavy burden of fighting the pandemic.

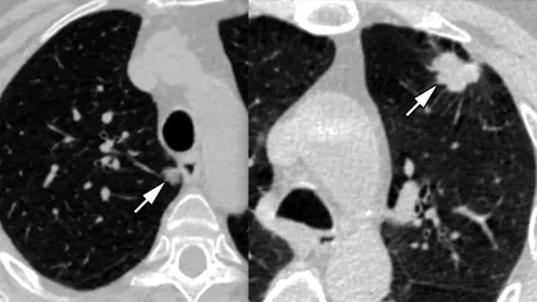
Examples of two lung cancers that were caught using low dose CT lung screening. Image from RSNA

The ACR said a recent reimbursement rule change for low-dose computed tomography (CT) lung screen scans will help open up screening to more patients. 

The long legal saga of Richard Paulus, a Kentucky cardiologist accused of performing unnecessary cardiac procedures, appears to still be going strong in 2022 and might be reviewed by the Supreme Court. The New York state radiologist is facing 36 misdemeanor counts for secret sexual recording without consent, according to a story in the Boston Herald.

The cardiologist repeatedly subjected a subordinate physician to "unwanted and unwelcome" contact. 

One-year-old Easton and his mom Kaitlyn. Easton was the first patient to undergo a combination heart transplant and allogeneic processed thymus tissue implantation in an effort to eliminate the need for long-term, immune-suppression, anti-rejection medications. Image courtesy of Duke University.

“This has the potential to change the face of solid organ transplantation in the future,” one surgeon said. 

Amazon Pharmacy has teamed up with Blue Plans to offer prescription medicine options in New Jersey, Nebraska, Alabama, Florida and Kansas.

 

Oscar Health’s Chief Operating Officer Meghan Joyce is resigning from her role, effective April 10.

 

Around the web

The approval, made as part of a special FDA pilot program, took just 50 days.