HE homepage

Senior Care

An investigation from the Office of the Inspector General (OIG) regarding prior authorization requirements in Medicare Advantage (MA) plans revealed concerns about access to care.

sara_vaezy_headshot_providence.jpeg

Providence, one of the largest not-for-profit Catholic health systems, has tapped Sara Vaezy as its new executive vice president and chief digital officer.

Smartphone

“We show for the first time that symptom data can be informative in predicting subsequent regional trends in hospital admissions due to COVID-19," one researcher said. 

senior care

The 400+ closures projected for 2022 are nearly double the next highest year, when 220 nursing homes closed in 2019.

The president and CEO of Globus Medical, a musculoskeletal solutions company, is stepping down from his role after nearly 20 years with the company.

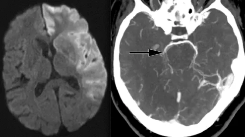
Ischemic stroke CT imaging. Images courtesy of RSNA

Despite increases of 250% for CTA and 428% for CTP, researchers observed lower rates of neuroimaging utilization among rural residents, older individuals (80 years and above), women and Black patients.

Around the web

The approval, made as part of a special FDA pilot program, took just 50 days.