HE homepage

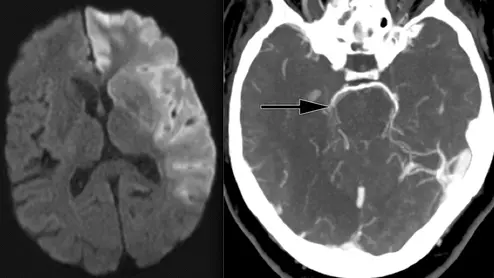
Ischemic stroke shown in CT scans. Image courtesy of RSNA

Bibb Allen, MD, FACR, chief medical officer of the American College of Radiology (ACR) Data Science Institute, explains the trend of using AI for the automated detection of stroke on computed tomography (CT) imaging and the need to include radiologists on the stroke care team.

The European Society of Cardiology 2025 congress includes 10 Hot Line sessions and 28 late-breaking science sessions to showcase the latest science.ESC Congress 2022 European Society of Cardiology. #ESC #ESC2025 #ESC25

ESC Congress 2022, the annual meeting of the European Society of Cardiology, was jam-packed with eye-opening new research from many of the leading voices in cardiovascular and vascular medicine. These six sessions were just some of the weekend's many highlights. 

Medicare money payment physician. The CardioVascular Coalition and Society for Cardiovascular Angiography and Interventions have both issued new statements highlighting their issues with the 2024 MPFS proposed rule. 

Alma, a membership-based network focused on mental healthcare, has raised $130 million in a Series D funding round. The network nabbed investments from some big names, including Cigna Ventures.

pain pills opioids

Cigna has teamed up with Bicycle Health to add coverage for virtual opioid use disorder treatment to Cigna plan customers.

Researcher

The Biden administration has mandated that all federally-funded research become available to the public––for free.

coronavirus COVID-19 vaccine vaccination

"We are filing these lawsuits to protect the innovative mRNA technology platform that we pioneered, invested billions of dollars in creating, and patented during the decade preceding the COVID-19 pandemic," says Moderna CEO Stéphane Bancel.

Around the web

AI can help care teams identify heart patients who would benefit from TAVR or another life-changing valve intervention.