HE homepage

Judge bangs gavel

Cerebral has admitted to improperly sharing data with social media platforms for the purpose of targeted advertising. The company also made it difficult to cancel the service, costing its members millions.

Lars Svensson, MD, PhD

Svensson, a prominent voice in cardiothoracic surgery, said he has seen a rise in enthusiasm ahead of this year's meeting.

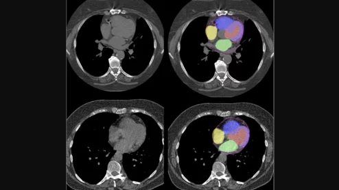
Advanced artificial intelligence (AI) models can evaluate cardiovascular risk in routine chest CT scans without contrast, according to new research published in Nature Communications.[1] In fact, the authors noted, the AI approach may be more effective at identifying issues than relying on guidance from radiologists. Representative non-contrast CT slices for two patients (left), with super-imposed segmentations (right). One artificial intelligence (AI) model was used to segment a cardiac mask.

Two advanced algorithms—one for CAC scores and another for segmenting cardiac chamber volumes—outperformed radiologists when assessing low-dose chest CT scans. 

artificial intelligence machine learning healthcare

Buzzworthy developments of the past few days.

kaiser permanente nurses protest AI in healthcare

Healthcare leaders around the U.S. might want to take notice of what’s going on in the streets of San Francisco this week.

Gunman kills 4, including his former doctor, in Oklahoma hospital shooting.

Tyler Smith and co-defendant Zachary Dinell confessed to assaulting more than a dozen patients, expressing hatred for them simply because they’re disabled.

Around the web

The approval, made as part of a special FDA pilot program, took just 50 days.